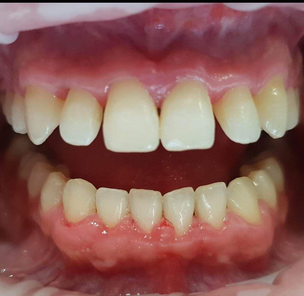
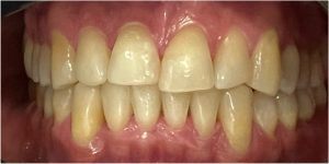
Efekty leczenia
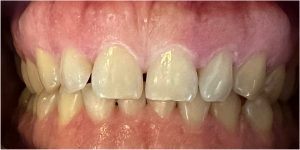
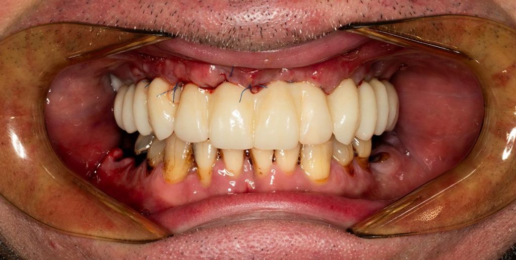
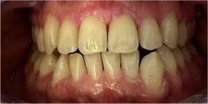
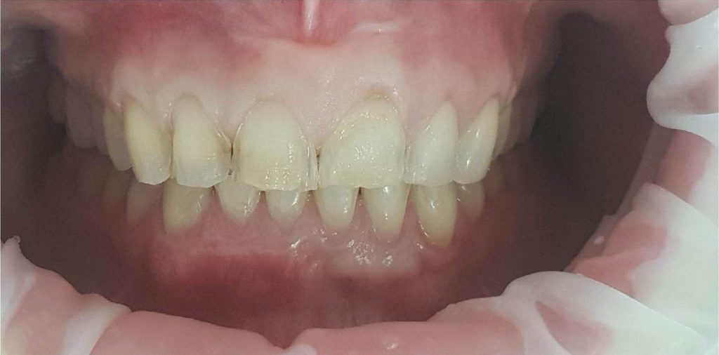
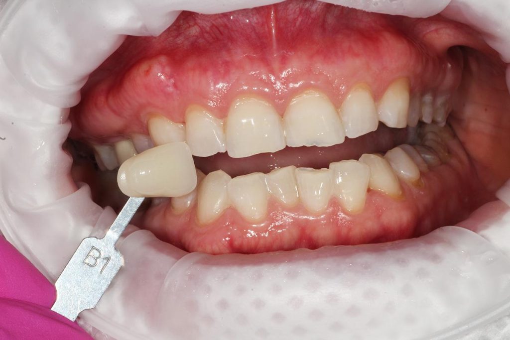
Pierwszy etap to kompleksowa konsultacja u dr Joanny Zawirskiej-Poły. Podczas tej wizyty zostało wykonane badanie przedmiotowe, podmiotowe, badanie mięśni i stawów, analiza okluzji, badanie stomatologiczne, tomografia komputerowa, rejestracja fotograficzna i długa rozmowa z Pacjentką na temat jej oczekiwań.
Na pierwszej konsultacji Pacjentka dowiedziała się o wszystkich możliwych wariantach działań. Z każdej z przedstawionych opcji zostały również naświetlone wady i zalety danych rozwiązań w perspektywie długofalowej.
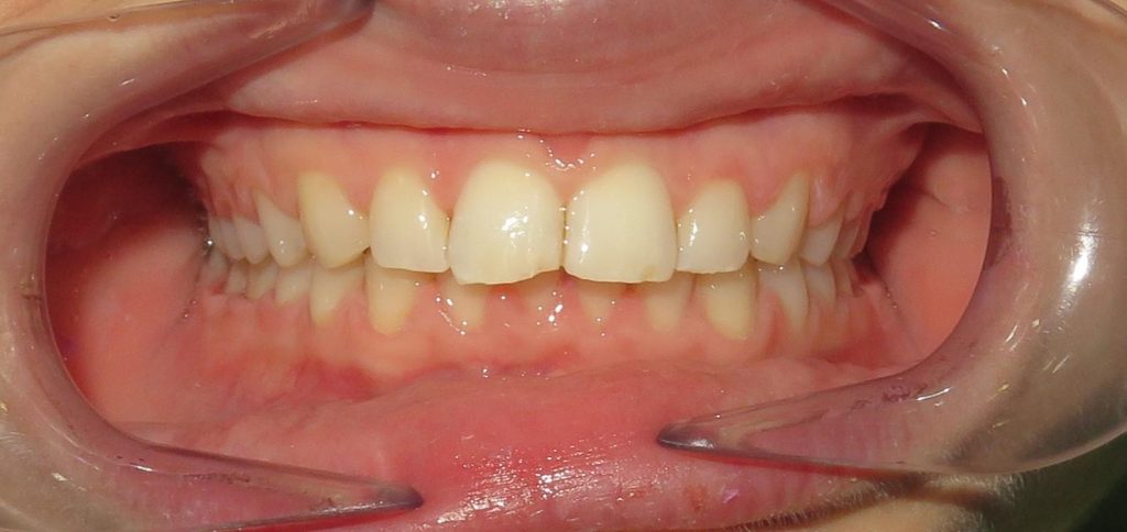
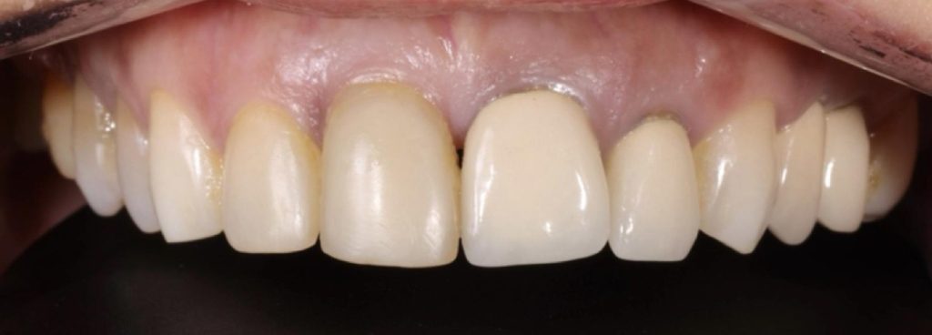
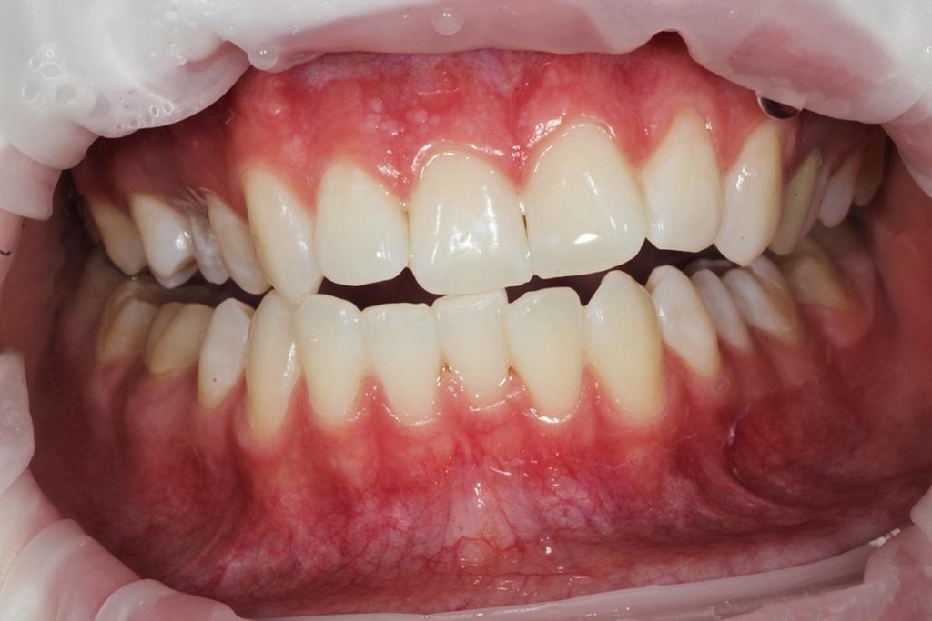
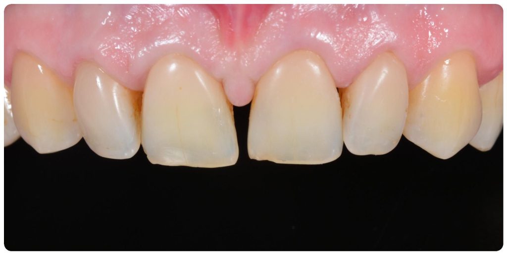
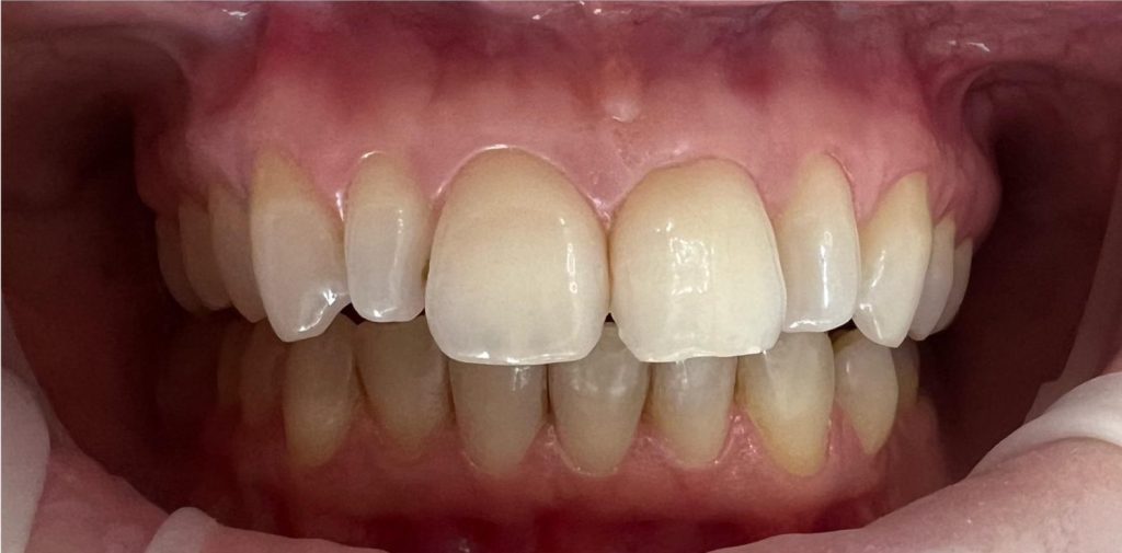
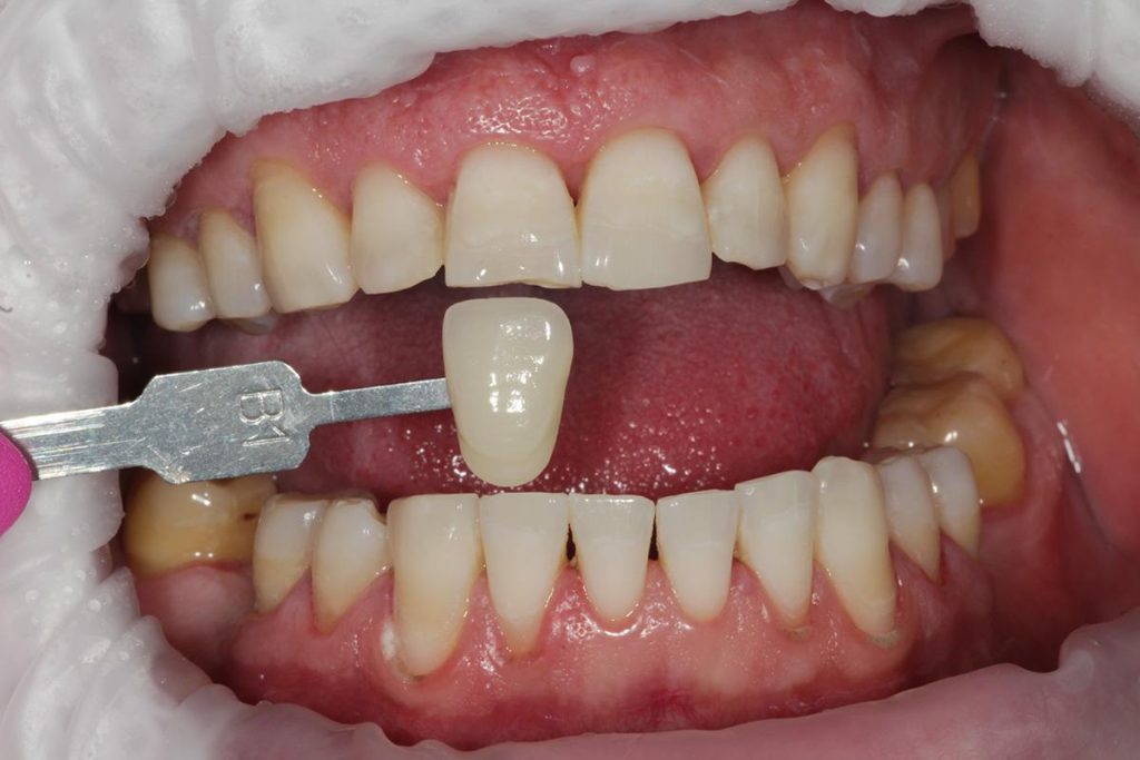
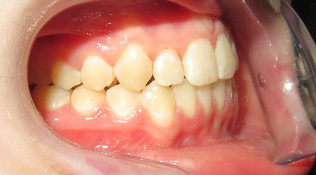
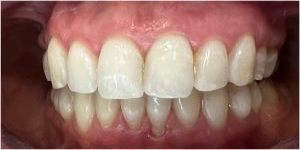
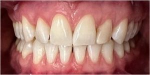
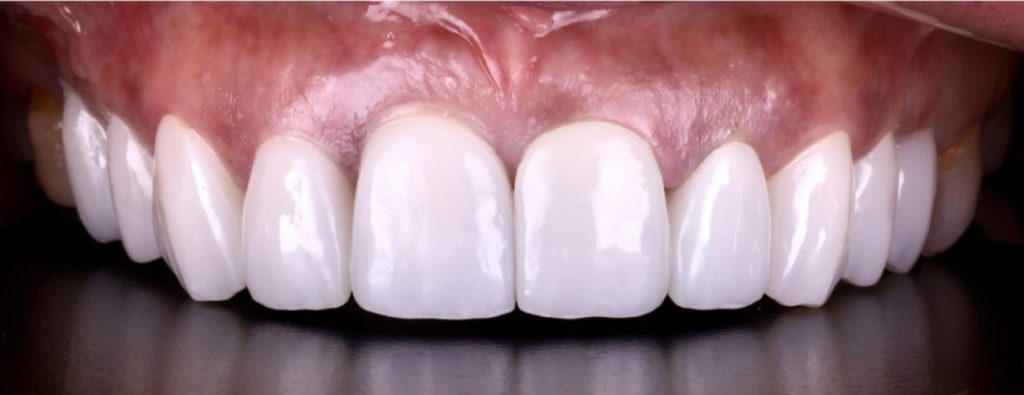
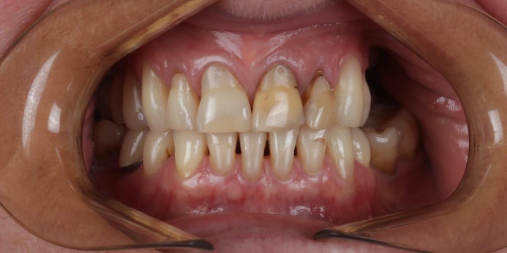
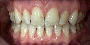
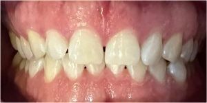
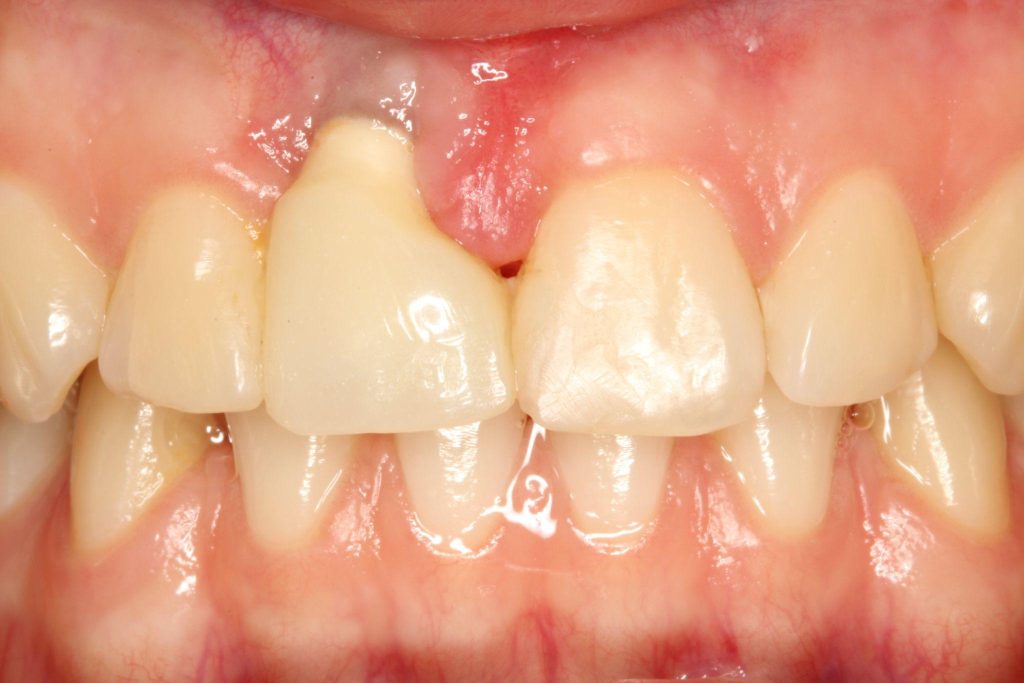
Pacjentka, zgłaszając się już na kolejną wizytę świadomie podjęła opcję pośrednią z proponowanych działań: wyleczenie zębów zachowawczo, endodontycznie z zabezpieczeniem protetycznym, estetyczne korekty uśmiechu licówkami, ćwierćkoronami i koronami, jednak bez pełnej przebudowy zwarcia (z zachowaniem starszych odbudów w strefach bocznych, które były wykonane na implantach w przeszłości), która jest zawsze najbardziej polecana, odtwarza prawidłowe kontakty, a także umożliwia lekarzowi i technikowi najlepsze warunki do nadania odpowiednich i harmonijnych kształtów. Te wszystkie działania chronią na przyszłość staw skroniowo-żuchwowy.
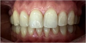
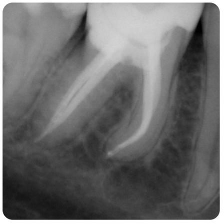
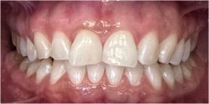
Następnie dr Joanna przekierowała Pacjentkę na kompleksowe działania endodontyczne do dr Aleksy Muchy.Po tym dr Joanna mogła przystąpić do działań protetycznych.
Prace protetyczne odbywały się we współpracy z Laboratorium Dental Scan, ściślej z Panią Anną Simierską i Agatą Łatyk-Banasik.
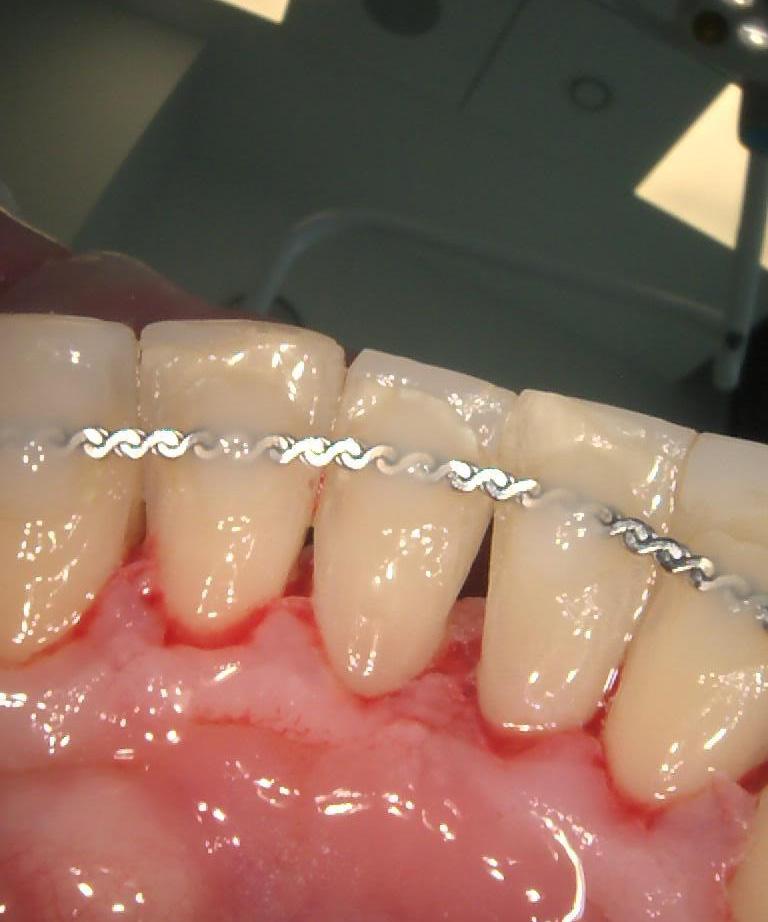
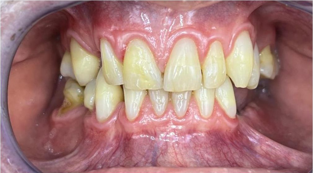
Cała terapia, jak zawsze w takich przebudowach, nawet częściowych wiąże się z bezwzględnym zwieńczeniem wykonania szyny ochronnej, której konstrukcja jest zawsze uwarunkowana indywidualnie. Zalecenia jej noszenia przez lekarza również są indywidualne i mogą się zmieniać w perspektywie czasu.
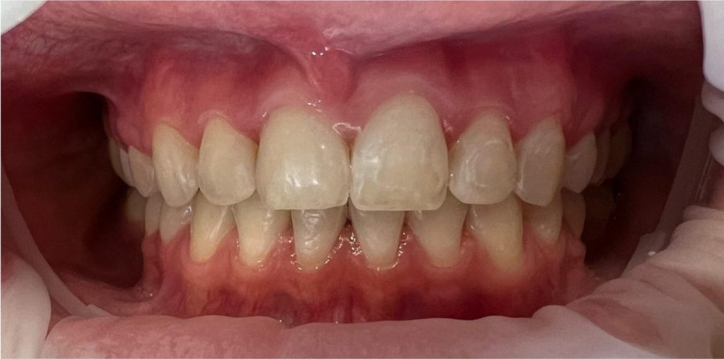
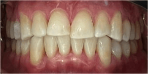
Tak wyprowadzony Pacjent powinien stawiać się (oczywiście zawsze z szyną) na wizytach kontrolnych co 6 m-cy. W międzyczasie z zaleceń lekarza z pewnością wskazane mogą być zabiegi higienizacyjne u naszych Pań higienistek, by podtrzymać u Pacjenta zdrowy stan przyzębia.
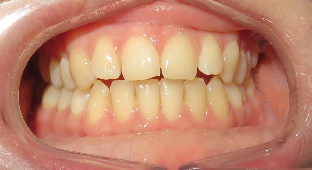
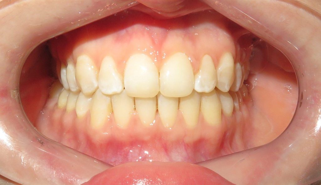
Tak Pacjentka skomentowała uzyskany efekt: “Od zawsze marzyłam o takiej zmianie, żałuję, że nie zdecydowałam się wcześniej”.
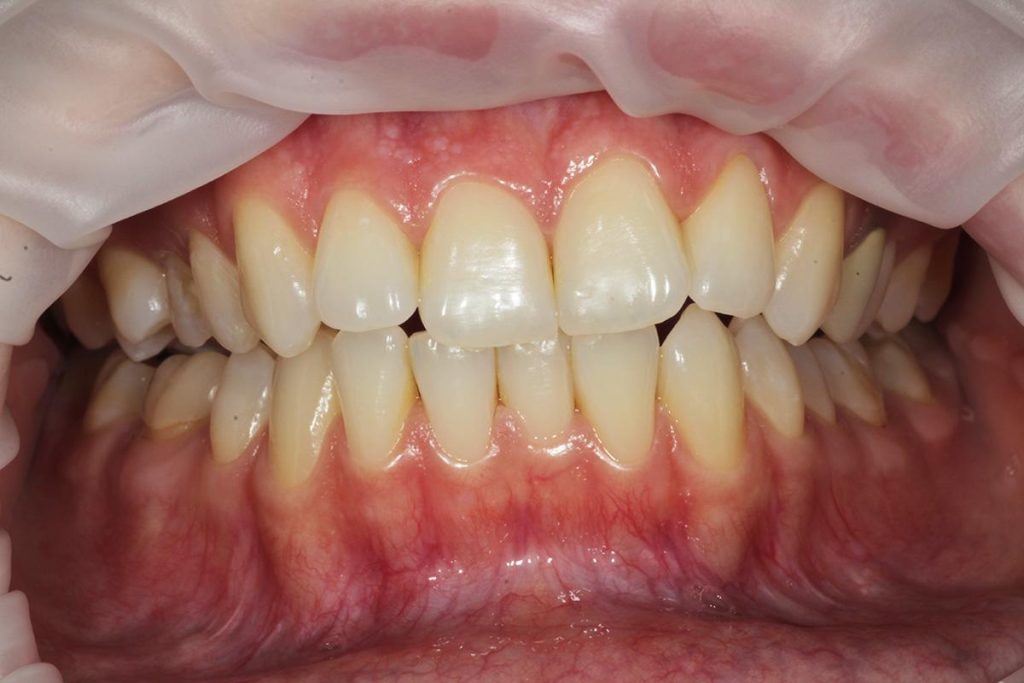
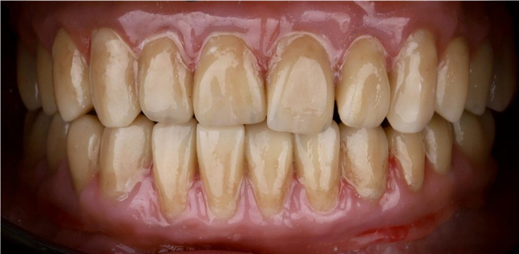
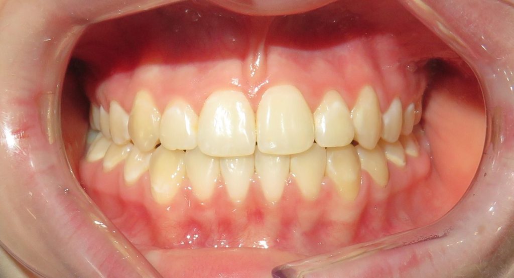
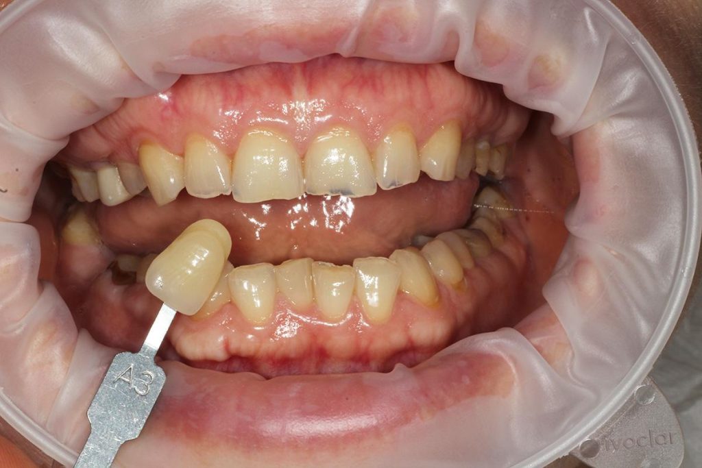
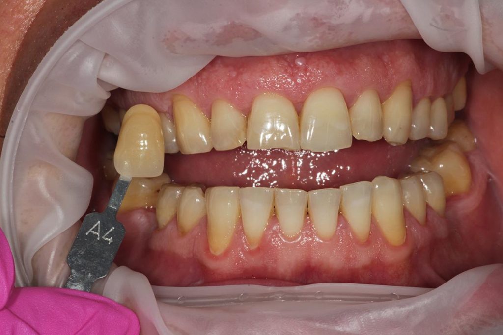
Pomimo zaleceń dr do wdrożenia również leczenia ortodontycznego, Pacjentka, znając wszystkie wady i zalety bezwzględnie zdecydowana zakamuflować stłoczenia, nieprawidłowości kontaktów, płaszczyzny zgryzowe, tylko i wyłącznie protetycznymi rozwiązaniami. Dr Joanna ustaliła z Pacjentką pod Jej wymagania wspólny plan działań. Wybierając takie rozwiązanie lekarz i laboratorium ma zawsze utrudnienie, by jaknajbardziej harmonijnie zaplanować projekt uśmiechu.
Higienizację, przygotowującą naszą Pacjentkę do realizacji ustalonego planu działań, przeprowadziła Pani higienistka, Joanna Woźniak.
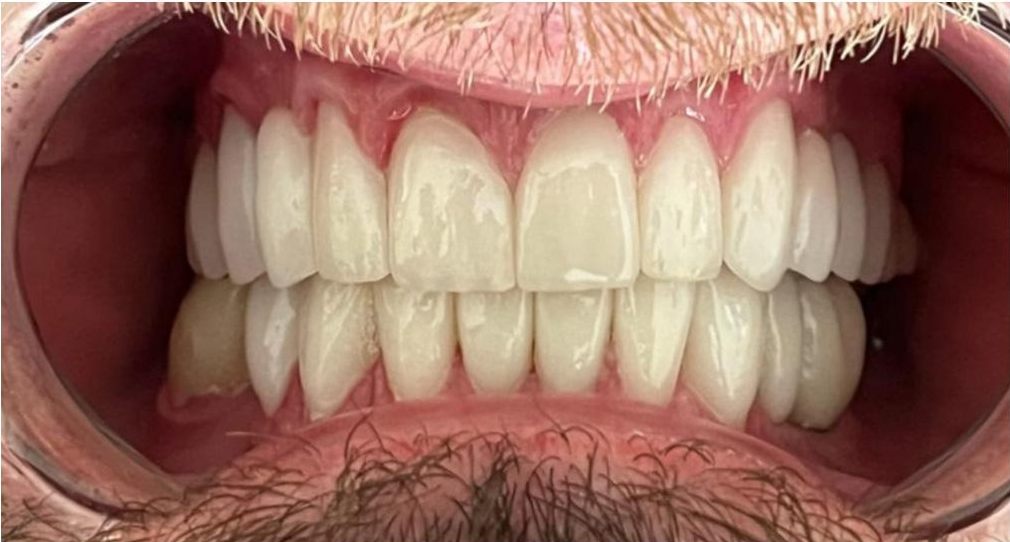
Pacjentka przeszła pełną rehabilitację zwarcia i zabiegi mikrochirurgiczne w zakresie dziąseł i kości u dr Joanny Zawirskiej Poły. Relaksacją mięśni zajęła się nasza fizjoterapeutka, Pani mgr Hanna Neścior.
Leczeniem zachowawczym zajęły się nasze dwie Panie doktor: Angelika Chancewicz i Aleksandra Bąk.
Pracę protetyczną dr Joanna Zawirska-Poła wykonywała we współpracy z laboratorium Dental Scan ( bezpośrednio Pani Anna Simierska i Pani Agata Łatyk- Banasik).
Po zakończonych naszych działaniach Nasza Pacjentka podsumowała to w jednym zdaniu: “Best Decision Ever”.
Pod kierownictwem lek. stom. Michała Badowskiego po wnikliwej analizie została przeprowadzona korekta dziąseł i pozbycie się nieestetycznych koron na podbudowie metalowej, eliminując tym samym nawracające stany zapalne dziąseł.
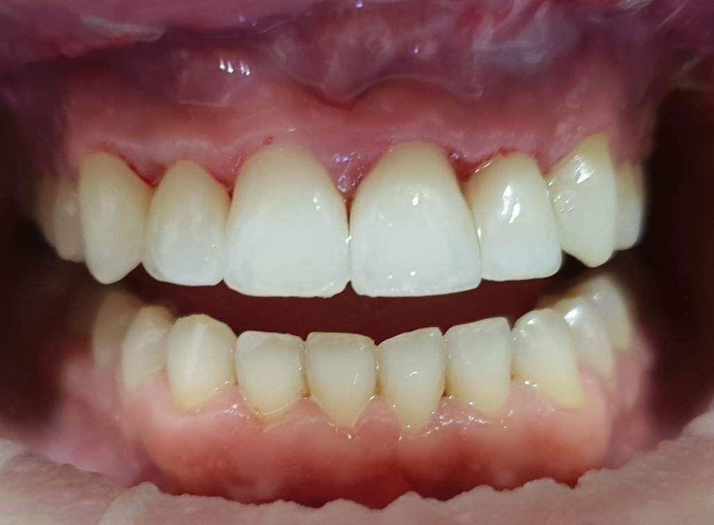
Następnie została wykonana wizualizacja nowego uśmiechu, idealnie dopasowana do twarzy Pacjentki. Po jej akceptacji, przygotowaliśmy komplet koron i licówek pełnoceramicznych na górne i dolne zęby.
Całe leczenie trwało zaledwie 3 miesiące!
Dzięki współpracy lek. stom. Michała Badowskiego i techn. dent. Joanny Gancarz z laboratorium Dentalscan Pacjentka zachwyca pięknym uśmiechem!
Przeprowadziliśmy precyzyjne leczenie implantologiczne, wszczepiając 11 implantów w szczęce i żuchwie. Konieczna była też regeneracja kości. Po 6 miesiącach gojenia nastąpiła odbudowa pełnołukowa. Kształt, kolor i ustawienie zębów zostały dobrane oraz wykonane na indywidualne życzenie Pacjenta.
Leczenie chirurgiczne i implanto-protetyczne przeprowadził lek.stom. Michał Badowski.
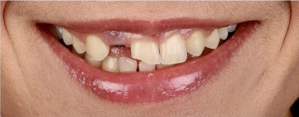
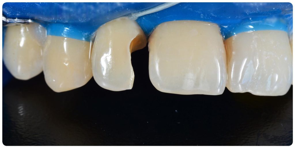
Aby osiągnąć taki efekt, musieliśmy przeprowadzić ekstrakcję złamanej górnej jedynki i w jej miejsce jednoczasowo wszczepić implant, a następnie na pozostałe zęby wykonać licówki i korony pełnoceramiczne w najjaśniejszym odcieniu.
Całość została zaprojektowana w harmonii z twarzą i rodzajem uśmiechu naszej Pacjentki. Leczenie trwało 3 miesiące.
Wykonał je lek.stom. Michał Badowski we współpracy z laboratorium Dentalscan (tech.dent. Joanna Gancarz).
Podczas wizyty lek. stom. Michał Badowski przeprowadził dokładną diagnostykę i przedstawił plan leczenia.
Następnie za pomocą nowoczesnych technologii cyfrowo zaprojektowaliśmy uśmiech, który Pan Bogdan mógł przymierzyć jeszcze przed rozpoczęciem właściwych zabiegów! Później została wykonana kompletna przebudowa zgryzu i uzupełnienie braków zębowych.
Pan Bogdan otrzymał nie tylko nowy uśmiech, ale zupełnie nowe życie!
Efekt mówi sam za siebie
Przypadek Pacjentki:
- Pacjentka nie miała zawiązków górnych dwójek.
- Wszczepiliśmy implant w miejsce górnej dwójki.
- Przeprowadziliśmy wybielanie zębów, aby uzyskać idealny odcień.
- Wykonaliśmy pełnoceramiczne licówki na górne jedynki.
- Zmieniliśmy wygląd kła przy pomocy licówki, aby wyglądał jak naturalna dwójka.
Całe leczenie trwało tylko 3 miesiące, a efekt końcowy przeszedł najśmielsze oczekiwania.
Licówki i korona na implancie wykonane przez laboratorium Dentalscan.
Dzięki precyzyjnej diagnostyce, doktor Magdalena Zawirska opracowała kompleksowy plan leczenia, który obejmował: stomatologię zachowawczą, periodontologię i protetykę stomatologiczną. Zastosowano licówki i korony pełnoceramiczne, przeprowadzając kompleksową rekonstrukcję zwarcia.
Pacjentka może się teraz cieszyć się pięknym i zdrowym uśmiechem
dr Magdalena zastosowała innowacyjną metodę odbudowy zębów, znaną jako bonding. To bezpieczna i nieinwazyjna technika, która nie wymaga szlifowania zębów. Dzięki wykorzystaniu materiału kompozytowego, został osiągnięty natychmiastowy efekt – od razu już po jednej wizycie.
Teraz Pacjent może pochwalić się pięknym uśmiechem!
Dobrze przeprowadzony zabieg implantacji natychmiastowej daje efekty jak na pozostałych zdjęciach! Na każdym etapie leczenia mamy pełną kontrolę nad wszystkimi aspektami przyszłej odbudowy protetycznej – można powiedzieć, że zachowujemy to, co najtrudneijsze do odtworzenia, czyli kształt dziąseł.
Cytując Michała Mokijewskiego: „Pacjent przychodzi po idealny ząb, a nie po implant”.
Tylko implantacja natychmiastowa pozwala nam uzyskać taki efekt w zaledwie 3 wizyty.
Nasz pacjent stracił zęby wiele lat temu i największą jego obawą był czas procesu przywracania pięknego uśmiechu. Dzięki opracowaniu indywidualnego planu, w którym określono precyzyjne umiejscowienie sześciu implantów, mogliśmy zaoferować pacjentowi nasz innowacyjny protokół 24h.
Cała metamorfoza zajęła zaledwie 2,5 godziny – 2 godziny na zabieg wszczepiania implantów i 30 minut na montaż nowego kompletu zębów następnego dnia. Dzięki temu podejściu „dziś implanty – jutro zęby” szybko i bezpiecznie przywróciliśmy uśmiech naszego Pacjenta, minimalizując przy tym ryzyko i dyskomfort.
Przykład ten jest dowodem na to, że zaawansowane technologie i doświadczenie naszych specjalistów mogą czynić cuda.
zwężone łuki zębowe,
tyłozgryz,
głęboki zgryz,
stłoczenia,
zrotowane i starte zęby
Pod opieką Agnieszki Łukowicz, Master of Science Orthodontics została poddana zaawansowanemu leczeniu aparatem stałym ligaturowym, Dzięki czemu udało się osiągnąć znaczące zmiany:
poszerzenie luków zębowych,
korekta tyłozgryzu,
rozwiązanie stłoczenia,
odrotowanie zrotowanych zębów,
odbudowa startych zębów.
Efekt estetyczny został dopełniony przez wybielanie zębów i odbudowę kompozytową wykonaną przez dr Monikę Niewitecką.
Przedstawiamy piękny i zdrowy uśmiech naszej Pacjentki!
Dr Anastazja Kraczkowska wykonała estetyczną odbudowę kompozytową z maksymalną ochroną tkanek zęba. Leczenie odbyło się podczas 1 wizyty, która trwała 2 godziny.
Podczas gdy w dolnym łuku dr Michał Mokijewski przeprowadzał zabiegi regeneracyjne i implantacje, zajęłyśmy się leczeniem łuku górnego.
Zgodnie z zasadą, że prace protetyczne powinny być oparte na zdrowych i solidnych fundamentach, zaczęłyśmy od podstaw – wymiana nieszczelnych wypełnień, powtórne leczenia kanałowe.
Praca została zwieńczona odbudową zębów koronami cyrkonowymi. Brakujący ząb, którego nie można było uzupełnić implantem z powodu za małej ilości miejsca, odtworzono za pomocą cyrkonowego mostu.
Zgodnie z życzeniem Pacjentki poprawiony został kolor i kształt zębów. Kamuflaż protetyczny umożliwił także skorygowanie asymetrii.
Dzięki profesjonalizmowi naszych lekarzy, Pacjentka ma teraz zdrowy, piękny uśmiech!
Wykonano odbudowę koronami cyrkonowymi, dla harmonii włączono w pracę również prawą dwójkę.
Zachwycona efektem końcowym Pacjentka z radością eksponuje nowy uśmiech i, jak sama przyznaje, „czuje się znów tak, jak za młodu„. Co też potwierdza Jej mąż
Umów wizytę: